Insight Compass
health and wellness /

How do you get rid of dog flea bites on humans

Wash the bites with antiseptic soap to reduce the risk of infection. Apply an icepack frequently to help relieve swelling. Use calamine lotion, anaesthetic creams or similar to treat the itching. See your pharmacist for advice on appropriate antihistamine medications to reduce the swelling.

How long do dog flea bites last on humans?

Bites on dogs and cats can lead to several secondary problems, so talk to your veterinarian about keeping your pet free from fleas. Doctors say that flea bites on humans typically heal within a week, as long as they are not infected and have been treated to enhance healing.

What is the fastest way to heal flea bites on humans?

  1. Wash the area first to lessen the chances for infection.
  2. Apply an anti-itch topical medication such as calamine lotion (Caladryl), hydrocortisone (Cortaid, Cortizone), or diphenhydramine (Benadryl Itch Stopping Gel).

What can you do for flea bites on humans?

Flea bites typically don’t need treatment. Over-the-counter anti-itch creams or ointments and antihistamines can relieve itchy skin and discomfort. However, see your healthcare provider if more severe symptoms develop after a bite (allergic reaction, fever, headache or body aches).

What can I put on my skin to keep fleas off of me?

You can also use natural flea repellents, including some essential oils, directly on skin. One small, human study found that thyme oil and myrtle oil were more repellent against fleas on people than either permethrin or DEET.

Can fleas live in your bed?

Can Fleas Live in Your Bed? These pests infest multiple areas in homes, especially mattresses, cushions, and carpeting. … Since immature fleas live and feed off a host in beds and rugs, finding out where the pests are living is crucial to stopping an infestation.

Can fleas go in human hair?

While rare, fleas can make their way onto human hair. In the absence of household pets like cats and dogs, fleas may decide to approach their next victim, us humans, for their regular blood meals. In this step-to-step guide, you will learn how to quickly treat fleas found in human hair.

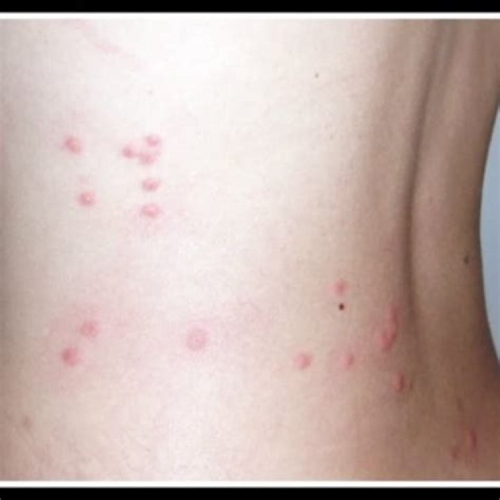
How can you tell flea bites on humans?

They look like small, red bumps in clusters of three or four or a straight line. The bumps remain small, unlike mosquito bites. You might notice a red “halo” around the bite center. The most common places to find these bites are around the legs or ankles.

How do you get fleas to stop biting me?

Fleas don’t bite through clothing, so wearing long-sleeved shirts, long pants, and socks can help prevent bites. If you’ll be in an outdoor area where fleas are a problem, or if you’re in the middle of treating a flea infestation in your home, put on some bug spray with DEET. It’ll lower your chance of getting bit.

What do fleas hate the most?

Fleas have a strong sense of smell, which they use to find accessible food sources. You can take advantage of this trait by using scents they dislike, such as cedarwood, mint, vinegar, clove oil, citrus, DEET, lemongrass oil, and rosemary oil.

Article first time published on

Will vinegar keep fleas from biting me?

Like many pests, fleas hate the smell and taste of vinegar, so they’ll do their best to avoid it. … To make your homemade flea spray, you’ll need white vinegar or apple cider vinegar. Either is fine, though some people feel their pet prefers the scent of apple cider vinegar.

What is a natural remedy for flea bites?

  1. Ice. Wrap ice packs or even frozen vegetables in a towel and apply to the skin. …
  2. Aloe Vera. …
  3. Witch Hazel. …
  4. Rubbing Alcohol. …
  5. White Vinegar. …
  6. Tea Tree Oil. …
  7. Tea Bags. …
  8. Lemon.

What kills fleas on dogs instantly?

The most common product used to kill fleas on dogs instantly is Nitenpyram, more commonly known as Capstar. This single-use tablet is administered orally and kills fleas within 30 minutes. It is recommended that you contain your pet in a small area when using Capstar.

How long do flea bites last?

If you’re not on the sensitive side, the bite will be gone in one or two days. However, if you develop some kind of reaction to the flea bite, you’ll have to deal with a nasty rash for up to two weeks. In rare cases, some people get infections and the healing process can become even longer.

How do I get rid of fleas in my house fast?

  1. Use a powerful vacuum on any floors, upholstery, and mattresses. …
  2. Employ a steam cleaner for carpets and upholstery, including pet beds. …
  3. Wash all bedding, including your pet’s, in hot water. …
  4. Use chemical treatments.

Where do fleas lay eggs on humans?

While fleas can technically lay eggs on our scalp, the possibility of this happening is extremely rare. Given how much these small parasites can disrupt a household, however, knowing all you can about fleas can help you avoid an infestation or manage an existing flea problem.

What shampoo kills fleas?

Best Overall: Adams Plus Flea & Tick Shampoo This popular flea shampoo is designed to kill fleas, eggs, and larvae. It can be used every 28 days to kill fleas during their cycle and prevent re-infestation.

How long can fleas live on humans?

Survival. Cat fleas can survive solely on a diet of human blood. They’re capable of living for 139 to 185 days if fed on human arms for 15 minutes each day.

What can I spray on my bed for fleas?

Create a flea spray by mixing 4 liters of vinegar, 2 liters of water, 500 ml of lemon juice and 250 ml of witch hazel in a large spray bottle. Before applying the product around your home, you should vacuum properly, emptying the contents into an outside bin, and wash any bedding/cushions that could be infested.

Is it safe to sleep with a dog that has fleas?

But while dogs can be snuggly companions, they can also bring fleas and ticks into bed with them. That’s dangerous as dogs with ticks or fleas can transmit the diseases they carry to their owners.

Will dog fleas bite humans?

Fleas can bite humans, but they live on animals and in their sleeping spaces. Flea bites may be irritating and cause a more serious health condition that requires a doctor’s treatment. Make sure you monitor your pets for fleas regularly, and keep your house clean to reduce the chances of a flea infestation.

What attracts fleas to a person?

Fleas are attracted to carbon dioxide, the gas that warm-blooded organisms produce. It’s also the same reason why fleas prefer a specific person over other members of the household. If the person produces more CO2 than others, he or she may be peppered with bites.

How do you stop flea bites from itching at night?

Wash the bites with soap and water to keep the area clean and decrease your risk of infection. You can use an over-the-counter antihistamine, like Zyrtec or Claritin, to help reduce itchiness and keep you from scratching. Anti-itch creams like hydrocortisone and calamine lotion can also relieve itching.

Why are fleas only biting me?

This is because they’re generally built and adapted to pierce through their skin and suck their blood. However, when the flea population increases in a certain spot or the primary host is relatively less abundant, fleas will occasionally bite humans.

Do flea bites on humans itch?

How to Identify and Treat Flea Bites on Human. Flea bites result in red spots surrounded by reddened haloes. They are extremely itchy and cause great discomfort. Fleas often target the legs and feet of human victims and may infest the entire bodies of domestic house pets.

Can a human get sick from flea bites?

A flea bite may also become infected. If the affected person has swollen glands, extreme pain around the bite, or excessive redness, they should speak with a doctor. In some cases, fleas carry diseases that can be transmitted through bites, such as flea-borne spotted fever, plague, typhus, and cat scratch fever.

Do dryer sheets repel fleas?

The dryer kills fleas and is one of the best weapons against them. The high temperatures inside the dryer are enough to kill fleas on bedding, clothes, stuffed animals, and other cloth or fabric items. When set on the highest temperature setting, dryers can even kill flea eggs before they hatch.

Are fleas active at night?

Bedbugs and fleas are nocturnal. Fleas and bedbugs can loosely be labeled as nocturnal, meaning they are usually more active at night. This makes it harder to spot them, especially if you don’t have any itchy, red bites.

Can fleas live on tile floors?

Hard-surfaced floors are no protection, either; fleas can live in the cracks and around the edges of wood, laminate, or tile floors. They can also take refuge in furniture, bedding, and area rugs. If you live in an area with fleas, it is important to protect your pets at all times.

How long can fleas live in house without pets?

Understanding Fleas Fleas prefer to wait and jump onto a passing animal. Once aboard, they remain until they are dislodged or groomed from the animal. Without a host, adult fleas live only a few days to 2 weeks.

Can fleas live in feather pillows?

Fleas and other insects may lay eggs or even live on or near down pillows and other bedding. … Treatment is also recommended for the surrounding area, including pets, carpet and yards, so the down pillow will not become infested again.