Insight Compass
sports and athletics /

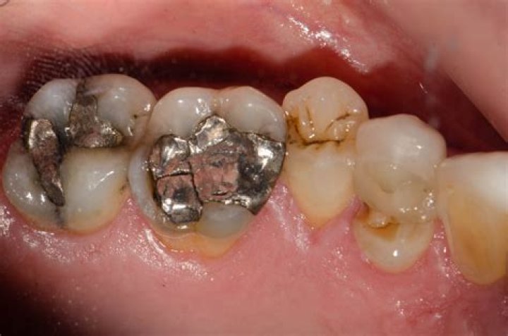
Is a broken cusp bad?

Is a broken cusp bad?

Broken cusp — These breaks affect the pointed chewing surfaces (the cusps) of the teeth. They usually do not affect the pulp and are unlikely to cause much pain. Your dentist may repair the damage to restore the tooth’s shape.

Is a fractured cusp an emergency?

However, early diagnosis and treatment are always important to avoid a dental emergency. If you experience any of the following, you should consider a fractured cusp an emergency and visit your dentist immediately: Extreme pain that cannot be relieved with over-the-counter medication. Facial swelling.

What is cracked cusp syndrome?

Cracked tooth syndrome (CTS) also known as cracked cusp syndrome or split tooth syndrome occurs when there is a crack in the tooth that is too small to show up on X-rays, or is under the gum. This can make CTS challenging to identify but it mostly appears on molars (the lower back teeth).

Can you leave a chipped molar?

Leaving a Chipped Tooth Untreated While rare, it is possible for a chipped tooth to prove life-threatening. Do not let this happen to you. Meet with a dentist after chipping your tooth to help reduce the pain, ensuring the chip does not lead to additional problems.

How serious is a cracked molar?

If left untreated, a molar crack can lead to a serious infection, a deeper fracture, or damage to surrounding teeth and gums.

Why are my molars cracking?

Teeth crack because of a variety of issues, including: pressure from teeth grinding. fillings so large they weaken the integrity of the tooth. chewing or biting hard foods, such as ice, nuts, or hard candy.

Is fractured cusp treatable?

Fractured Cusp The weakened cusp may break off by itself or may have to be removed by the dentist. When this happens, the pain will usually be relieved. A fractured cusp rarely damages the pulp, so root canal treatment is seldom needed. Your tooth will usually be restored with a full crown by your dentist.

Can you eat with a broken cusp?

You can also cover it with a sugarless chewing gum pending your visit to the dentist. If you must take food, make sure you eat soft foods and avoid biting down on the broken tooth.

What does a cracked molar feel like?

You may notice that you experience pain when biting into hot foods or drinking cold liquids. Possibly, you may even experience sensitivity when eating sticky, sweet, or sour foods as well. Increased sensitivity may be a sign of a cracked tooth.

What to do if you have a small chip in your tooth?

Dental Filling or Bonding If you have chipped off just a small piece of tooth enamel, your dentist may repair the damage with a filling. If the repair is to a front tooth or can be seen when you smile, your dentist will likely use a procedure called bonding, which uses a tooth-colored composite resin.

Is a small chip in tooth bad?

A chipped tooth is a common dental injury. In most cases, it doesn’t produce significant pain and can be successfully treated using a variety of dental procedures. While it’s usually not considered a dental emergency, the sooner you get treatment, the better the chances of limiting any dental problems.

What does a dentist do for a cracked molar?

Treatment will be based on the severity of the crack. Your dentist may recommend a crown, root canal, or tooth extraction. If your dentist thinks a crown is best, a filling material can repair the crack. If the inside of your tooth is damaged, your dentist may suggest a root canal to remove the damaged tissue.