Insight Compass
sports and athletics /

What causes acute epiploic appendagitis?

What causes acute epiploic appendagitis?

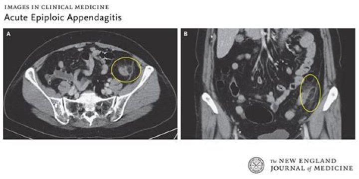
Acute epiploic appendagitis is an uncommon cause of abdominal pain. It is caused by torsion of an epiploic appendage or spontaneous venous thrombosis of a draining appendageal vein. The diagnosis of this condition primarily relies on cross‐sectional imaging and is made most often after computed tomography (CT).

Is epiploic appendagitis cancer?

Appendagitis also known as epiploic appendicitis is a self limiting disease, with benign features that responds to medical treatment in most cases [1]. The central vein that is located in the epiploic appendage can be affected by torsion or thrombosis that will lead to infarction of the epiploic appendage.

What should I eat if I have epiploic appendagitis?

Manage or prevent epiploic appendagitis: He or she can help you create a safe weight-loss plan, if needed. Eat a variety of healthy foods. Healthy foods include vegetables, fruit, low-fat dairy products, lean meats, fish, whole-grain breads and cereals, nuts, and cooked beans.

Can epiploic appendagitis cause constipation?

Patients with acute epiploic appendagitis do not normally report a change in bowel habits, while a small number may have constipation or diarrhea.

What causes fat stranding in the colon?

Acute conditions that cause fat stranding include peritonitis; inflammation, infection, or ischemia of the bowel; perforation of colon cancer; inflammation associated with pancreatitis or cholecystitis; trauma; and surgery.

What is epiploic appendagitis omental infarction?

Omental Infarction. Omental infarction is a rare cause of acute abdo- men. It typically simulates acute appendicitis, with clinical features that include abdominal pain of a few days’ duration, most often localized in the right lower or upper quadrant.

How serious is epiploic appendagitis?

Epiploic appendagitis is a condition that can cause severe stomach and abdominal pain. It’s relatively rare and has only recently become more easily noticed in the medical world. Because it’s not well known, it’s often misdiagnosed and confused with other conditions that also cause severe stomach pain.

What does fat stranding indicate?

Fat stranding refers to an abnormal increased attenuation in fat, (in the mesentery, omentum, retroperitoneum, or subcutaneous fat). The underlying pathophysiologic process is increased edema and engorgement of lymphatics. Abdominal fat stranding can produce various appearances.

What does fat stranding mean on CT scan?

Citation, DOI and article data Fat stranding is a sign that is seen on CT. It describes the change in attenuation of fat around an inflamed structure and is a very helpful signpost for intra-abdominal pathology.

What is epiploic appendage?

Epiploic appendages are normal outpouchings of peritoneal fat on the anti-mesenteric surface of the colon. Epiploic appendagitis is a benign and self-limited condition [1,2]. Inaccurate diagnosis can lead to unnecessary hospitalizations, antibiotic therapy, and surgical intervention [3-6].

What are the signs and symptoms of epiploic appendagitis?

Epiploic appendagitis is a rare cause of acute abdomen that often manifests with acute onset of pain in the left or right lower quadrant. Its symptoms can mimic and be mistaken for acute diverticulitis, appendicitis, or omental infarction. In this case report, we discuss a 65-year-old woman who pres …

Is surgery necessary for epiploic appendagitis?

Surgery may be necessary in cases of significant complications or recurrent episodes. There’s no specific diet that someone with epiploic appendagitis should or shouldn’t follow.

Can appendagitis cause leukocytosis?

Epiploic appendagitis may also cause leukocytosis, which is a blood response to the inflammation. Leukocytosis brings an influx of white blood cells to the affected area. This symptom is rare, and you’re not likely to know that it’s happening unless you have a blood test done.

What is the best diet for someone with epiploic appendagitis?

There’s no specific diet that someone with epiploic appendagitis should or shouldn’t follow. However, because obesity and eating large meals seem to be risk factors, eating a balanced diet with portion control to maintain a healthy weight may help prevent episodes.