Insight Compass
sports and athletics /

What is an Infundibular cyst?

What is an Infundibular cyst?

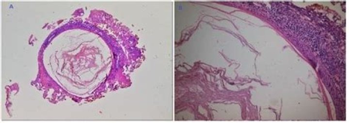
Infundibular cyst is a cyst lined by squamous epithelium which keratinizes through the prior formation of a granular layer, resulting in an orthokeratotic, basophilic, and basket-woven keratin, which occupies the cyst cavity.

What is an encapsulated cyst?

Epidermoid cyst, also known as a sebaceous cyst, is a benign encapsulated, subepidermal nodule filled with keratin material. Although most commonly located on the face, neck, and trunk, epidermoid cysts can be found anywhere including the scrotum, genitalia, fingers, and cases within the buccal mucosa.

What is the difference between a sebaceous cyst and a epidermoid cyst?

Epidermal cysts are filled with dead skin cells, while true sebaceous cysts are filled with yellowish oily material.

Can epidermoid cysts be cancerous?

Epidermoid cysts are small, lumps that develop under the skin. However, this isn’t the correct term for these types of growths. They don’t cause other symptoms and are never cancerous.

What causes Infundibular cyst?

Epidermal inclusion cysts form when the follicular infundibulum is disrupted, or when the surface of the skin becomes implanted below the skin through an injury or trauma in the area, such as a scratch, surgical wound or a skin condition like acne.

What is follicular cyst in right ovary?

Follicular cysts are also known as benign ovarian cysts or functional cysts. Essentially they’re fluid-filled pockets of tissue that can develop on or in your ovaries. They commonly occur in women of reproductive age, as a result of ovulation.

Is Keratinous cysts cancerous?

Not to be confused with sebaceous cysts, epidermal inclusion cysts are mobile, dome-shaped lumps filled with keratin. They’re very rarely cancerous, and most don’t come with any symptoms.

What is the black stuff in a cyst?

Signs and Symptoms of an Epidermoid Cyst They often have a central small black dot, or punctum, through which sebum accumulates.

What is the hard white stuff in a cyst?

Sebaceous cysts form inside glands that secrete an oily substance called sebum. When normal gland secretions become trapped, they can develop into a pouch filled with a thick, cheese-like substance.

What type of doctor removes epidermoid cysts?

What Type of Doctors Treat Cysts? While most primary care doctors or surgeons can treat cysts on the skin, dermatologists most commonly treat and remove sebaceous and pilar cysts. Dermatologists are focused on treating the skin — so removing cysts is a natural part of their training and focus.

What kind of doctor removes sebaceous cysts?

While most primary care doctors or surgeons can treat cysts on the skin, dermatologists most commonly treat and remove sebaceous and pilar cysts. Dermatologists are focused on treating the skin — so removing cysts is a natural part of their training and focus.