Insight Compass
travel and lifestyle /

What is cerebral leukoencephalopathy?

What is cerebral leukoencephalopathy?

Leukoencephalopathy with vanishing white matter is a progressive disorder that mainly affects the brain and spinal cord (central nervous system). This disorder causes deterioration of the central nervous system’s white matter, which consists of nerve fibers covered by myelin.

What is vascular leukoencephalopathy?

COL4A1-related familial vascular leukoencephalopathy is a rare, genetic, neurological disease characterized by the presence of fragile small-vessel intracerebral vasculature in various members of a single family, manifesting, clinically, with single or recurrent hemorrhagic and/or ischemic stroke and, frequently.

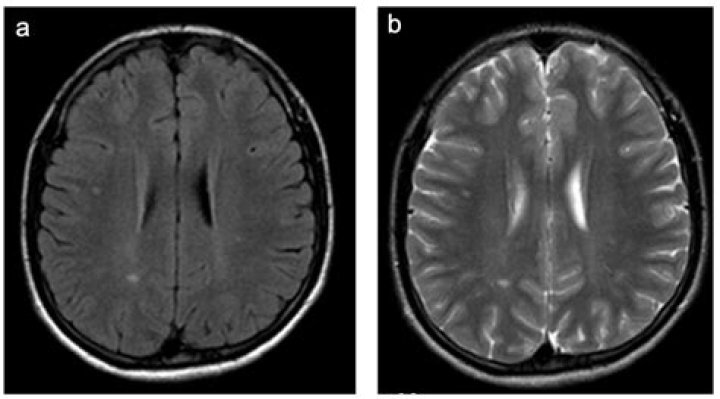
Is leukoencephalopathy the same as leukodystrophy?

Leukoencephalopathy (leukodystrophy-like diseases) is a term that describes all of the brain white matter diseases, whether their molecular cause is known or unknown. It can refer specifically to any of these diseases: Progressive multifocal leukoencephalopathy.

What are the first signs of PML?

The first symptoms may be clumsiness, weakness, or difficulty speaking or thinking. As the disorder progresses, many people develop dementia and become unable to speak. Vision may be affected. People with progressive multifocal leukoencephalopathy eventually become bedbound.

Can leukoencephalopathy be cured?

Treatment. The best way to treat PML is to fight whatever has made your immune system weak. You might take drugs that attack the virus that causes AIDS (HIV) or avoid drugs that affect your immune system. You also might need to avoid treatments like chemotherapy, which can put you at higher risk of infections.

Is leukoencephalopathy curable?

No treatment for progressive multifocal leukoencephalopathy has proved effective. However, if the disorder that has weakened the immune system is treated, people survive longer.

How long can a person live with PML?

People diagnosed with PML lived an average of 6 months, and most died within 2 years. However, if people with PML start taking strong antiretroviral medications (ARVs) to control their HIV, they can survive much longer. Now more than half of people with HIV and PML survive for at least two years.

What activates the JC virus?

The JC virus can be activated when a person’s immune system is compromised because of disease or immunosuppressive medication. The virus can then be carried into the brain.