Insight Compass
business and economy /

What is thumb subluxation?

What is thumb subluxation?

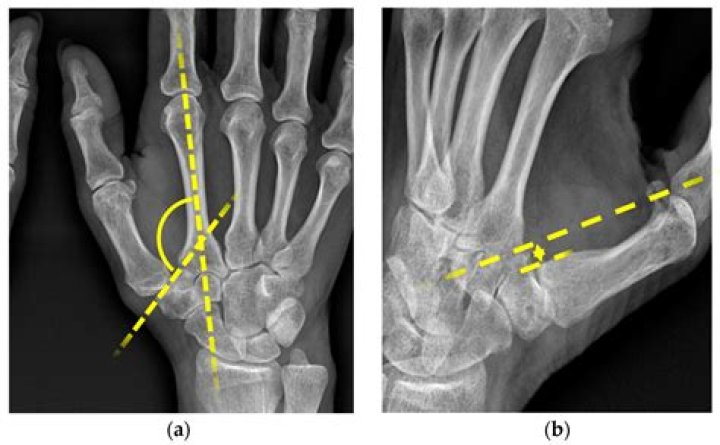
Introduction. Dorsal subluxation is a typical finding of thumb carpometacarpal (CMC) osteoarthritis, which indicates ligament laxity and instability of the joint. 1 2. Ligament reconstruction, therefore, is one of the surgical treatments for painful thumb CMC joints.

How can you tell if a joint is Subluxed?

As opposed to luxation (the complete dislocation of a joint), subluxations only result in the partial separation of a joint. Some of the common symptoms include: Pain and swelling around the joint. A sensation of joint instability.

How do MCP joints heal?

How is Metacarpophalangeal (MCP) Joint Arthritis Treated?

  1. Activity modification or hand therapy.
  2. Anti-inflammatory medications (oral or steroid injections)
  3. Cortisone injections (if medication fails)
  4. Simple splinting or flexible strapping.
  5. Topical skin creams.

What causes subluxation of the thumb?

What causes a thumb dislocation? Thumb dislocations are usually caused by bending the thumb backward (hyperextension) beyond its normal range. A forceful trauma (e.g., sports injury or fall) to any of the figure joints can result in finger dislocation (movement of bone out of its original position).

How do you treat thumb subluxation?

How can you care for yourself at home?

  1. Wear the splint day and night until your follow-up visit.
  2. Take pain medicines exactly as directed.
  3. Put ice or a cold pack on your thumb for 10 to 20 minutes at a time.
  4. Prop up your hand on a pillow when you ice it or anytime you sit or lie down.

What does a subluxated joint feel like?

With a subluxation, you may feel the bone moving in and out of your socket. Typically, you’ll experience a good deal of pain and swelling in your shoulder. You may have trouble moving your arm or hear a clicking sound when you do so. You may also feel numbness or tingling along your arm or in your fingers.

What is MCP osteoarthritis?

What is metacarpophalangeal joint (MCP) arthritis? It is arthritis of the knuckles, usually the knuckles of the thumb and index finger. The metacarpal bones are the bones of the hand. The finger bones are called phalanges. The MCP joint is the knuckle where the finger bone meets the hand bone.

Can you break the MCP joint?

In severe injuries, multiple metacarpals can be fractured. The fifth metacarpal (the one that attaches to the small finger) is especially susceptible to fracture when punching objects with a closed fist, hence the nickname “Boxer’s Fracture”.

How do you fix a Subluxed thumb?

If your thumb dislocation is not severe, the doctor can immediately fix it by externally manipulating and putting your bone back in its original position. This is known as a closed reduction. Before they do this, you might get a local anesthetic medication to numb your thumb and an analgesic to ease your pain.